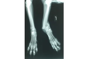
| ●52 今回の症例は、6カ月齢のパピヨンの左前肢橈尺骨の遠位成長板の骨折です。  | 
    ![]()  | 
    |
| 
    市販のプレートではサイズが合わなかった為、X線写真を基に作製したT字プレートを装着しました。 骨折部遠位に横に3穴、そして近位の橈骨に5穴のホールをあけ2mmのスクリューで固定しました。  | 
    ![]()  | 
    |
| 術後のX線写真ですが、ほぼ満足な固定が施されておりますが、発育途中の幼犬の成長板の骨折は多少なりとも必ず骨の発育に悪影響を及ぼしますので、術後の経過の観察が経日的に必要になります。 | ![]()  | 
    |
| トップへ戻る▲ | ||



